Abstract
Chronic lymphocytic leukemia (CLL), a cancer of B-lymphocytes, is the most common leukemia in adults. While current frontline therapies for CLL, such as ibrutinib or combination venetoclax and obintuzumab, have significantly improved clinical outcome for patients with treatment naïve CLL and relapsed and refractory CLL (RR-CLL), complete response (CR) rates for RR-CLL patients on ibrutinib remain between 5-14% and 42% for patients on venetoclax and obintuzumab (1, 2). With the advent of chimeric antigen receptor T cells (CART), CR for RR-CLL have increased to around 26-29%, yet this is in sharp contrast to the 70-93% CR achieved in acute lymphocytic leukemia (2). This discrepancy in response is in part due to the inherently immunosuppressive nature of CLL, such that CLL patients are significantly deficient in CD8 co-receptor expressing (CD8+) T cells, including stem cell-like memory T (Tscm) and central memory T (Tcm) cells (2). As the prevalence of Tscm and Tcm cell populations is directly correlated to the in vivo persistence and efficacy of CART, elucidating translatable mechanisms to selectively expand Tscm and Tcm from CLL patients is key to improving the efficacy CART cell therapy for CLL patients.
Memory T cell activation, differentiation, and maintenance are processes that are tightly regulated by mitochondrial fusion, fatty acid oxidation, and oxidative phosphorylation (OXPHOS) (3). Moreover, enforcing T cell mitochondrial fusion improves CART cell efficacy against solid tumors (4). As metabolism plays an important role in memory T cell biology, identifying key metabolic pathways that can be targeted ex vivo during CART expansion is of particular interest.
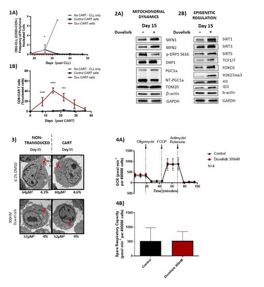
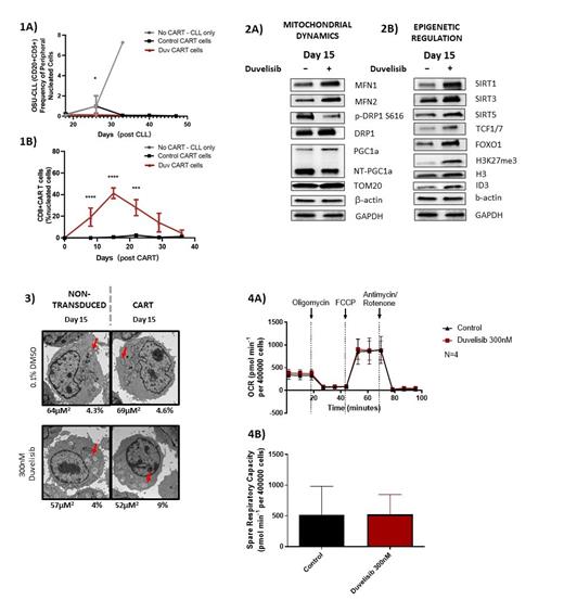
To that end, we have shown that dual inhibition of Phosphoinositide 3-Kinase (PI3K) δ/γ isoforms with IPI-145 (duvelisib) during ex vivo T cell manufacturing, preferentially expands CD8+ T cells, including Tscm and Tcm, as well as improves the in vivo persistence (Figure 1A) and cytotoxicity (Figure 1B) of CD19-targeted CART (CD19-CART) (5). To investigate the role of mitochondrial dynamics during ex vivo expansion of duvelisib treated T cell cultures, we stimulated CLL patient-derived T cells with anti-CD3/CD28 beads, re-stimulated T cells on day 9, and harvested T cell cultures on day 15. Immunoblot analysis of day 15 samples indicates that ex vivo duvelisib treatment of CLL patient T cells increases expression of key mitochondrial fusion proteins, mitofusins 1 and 2 (MFN1/2), and decreases serine 637 phosphorylation of mitochondrial fission protein, DRP1, without coincident upregulation of the master regulator of mitochondrial biogenesis, PPARG coactivator 1 alpha (Figure 2A). In addition, duvelisib increased the expression of sirtuins 1 and 3 (SIRT1/3), which have known roles in the post-translational activation of MFN1/2, as well as other epigenetic regulators of memory T cell development and persistence, including FOXO1, TCF1/7, and ID3 (Figure 2B). Taken together, these data suggest that duvelisib promotes mitochondrial fusion and epigenetic reprogramming of T cells during ex vivo expansion.
To further interrogate the role of PI3K δ/γ inhibition in mitochondrial dynamics and metabolism, we analyzed T cell cultures following 15 days of duvelisib treatment using a series of extracellular flux and transmission electron microscopy (TEM) experiments. Duvelisib promotes an increase in the total mitochondrial cross-sectional area of both un-transduced and CD19-CAR transduced T cells (Figure 3) and maintains basal, coupled, and spare respiratory capacity of un-transduced T cells on day 15 of expansion (Figure 4).
In summary, our data suggest that mitochondrial fusion through MFN1/2 and epigenetic reprogramming facilitate PI3K δ/γ inhibition-mediated ex vivo T cell expansion, where the SIRT1/3-MFN1/2 axis serves as a potential intersection between mitochondrial fusion and epigenetic reprogramming.
Waller: Verastem Oncology: Consultancy, Research Funding; Cambium Oncology: Current holder of individual stocks in a privately-held company, Current holder of stock options in a privately-held company.
